Opinion
By Jeff Childers

04-29-23
Good morning, C&C, and welcome to the Weekend Edition! Lots of good news in your roundup today, which includes: an SB 252 update, terrific Kansas laws passed over Governor Kelly’s veto; California school board faces furious parents after 6-foot cross-dresser beats up two girls; How Iran’s crackdown on mandatory-hijab protestors suggests strategies for combating psyops; how politeness is killing us; baffling brain infection outbreak in kids discombobulates doctors; the American Spectator pans New York Times’ Fauci interview; Ukraine tries to take Putin out; a legislative update; anti-DeSantis forces lose ethics battle; and two heartwarming video clips: dad takes on gaslighting Randi Weingarten, and a 13-year-old hero saves a school bus from an en-route medical complication.
🗞 *THE C&C ARMY POST* 🗞
🪖 Several years ago, being a practicing Floridian, I wore my flip-flops to an Easter Egg hunt. I was keenly overseeing our youngsters, who were racing around in the grass stalking “authentic” faux plastic eggs, and I was pondering the existential significance of hiding fake eggs filled with hyper-processed candy to celebrate a two-thousand-year-old religious miracle, when I started to realize my feet were itching. I glanced down from my important parental monitoring duties and my brainpan lit up in alarm like I’d accidentally grabbed a live electric wire: crawling through the hair on my lower legs were hundreds, maybe thousands, of bright-red fire ants.
And based on how enthusiastically the ants were nipping at my ankles, they seemed much more upset about the fake eggs than I was.
Or maybe I stepped on their house. We’re not sure yet.
Anyway, yesterday’s response to my write-up about Florida’s SB 252 went something like that ant episode. Some folks apparently didn’t appreciate my lack of awareness of the delicate nuances of over-the-top political messaging, or my gentle criticism of sketchy anonymous websites. Before I knew it, my rhetorical legs were itching and, sure enough, when I looked down some passionate medical freedom activists were rapturously stinging my achilles’ tendon.
So that we don’t lose the plot, I’ve been snarkily advocating for health freedom nearly every single day since the pandemic’s Titanic started sinking in 2020. Coffee & Covid is the life raft, not the iceberg. We’ll all be a lot better off if we stop beating each other with the lifeboat paddles and start working together to stop the national ship from sinking.
I’m just saying. Don’t cancel me!
The Epoch Times ran an even-handed story yesterday afternoon about SB 252 that quotes me fairly extensively as “a leading voice for medical freedom in the state,” which was nice, but also gave equal space to some Florida medical-freedom advocates opposing the bill, who called the proposed law even more “obsolete” than those plastic inserts that let 45-records run on the new-fangled turntables.

Granted, the bill was stale at first, like week-old tamales, but it is pretty excellent now. I’ll admit it’s not a perfect health-freedom taco; in a perfect world we’d have gotten the whole civil rights enchilada.
But now we should focus on the possible, and let’s get it done!
🗞💬 *WORLD NEWS AND COMMENTARY* 💬🗞
🔥 The Washington Post ran an extremely encouraging story earlier this month, headlined “Kansas Lawmakers Override Governor’s Veto to Enact Anti-Trans Sports Ban.”
Confused, cross-dressing boys in Kansas will no longer be allowed to play on girls’ sports teams from kindergarten through college, after Kansas state lawmakers overrode a veto from their governor to enact the restriction. Addled Governor Laura Kelly oddly quipped that the new law would “harm the mental health of our students.”
I think Governor Kelly might have her wires crossed or something. Look, I’m all for co-ed teams on pre-K and kindergarten, it’s very cute watching them try to figure out which end of the field they’re supposed to kick the ball towards, but after that it just confuses the players to let the boys play against the girls by calling the boys “girls.”
That wasn’t all. On Thursday, Kansas lawmakers overrode another Kelly veto and became the first state in the U.S. to enact a law defining “a woman” as “a human female,” and preventing government officials or judges from redefining the word to include biological men who “identify” as women.
SB 180 provides: “The terms ‘woman’ and ‘girl’ refer to human females, and the terms ‘man’ and ‘boy’ refer to human males.” It takes effect July 1st, and applies to all schools, locker rooms, prisons, domestic violence shelters and rape crisis centers.
Tran Kansans fretted that the new law would prevent them from showing the wrong sex on their driver’s licenses.
Meanwhile, over in Riverside, California, a large, tall boy at MLK High School who’s been using the ladies bathrooms and locker rooms, beat up two girls, and that was after exposing his man stick and spitting on them.
I don’t know what the standards are these days, but tell me if this looks like a fair fight to you:

Enraged King High School parents and students, who were madder than a swarm of bees whose teenaged daughters were beaten up by a boy bee using the hive reserved only for girl bees, tartly gave the useless school board members a piece of their minds.
In the video from the meeting, one smart young lady asked the key question about what exactly we are really “affirming.” We’re not affirming gender, but something else:
“Why are we affirming the mental confusion of this boy and putting the safety of women in jeopardy by allowing mentally confused men to use women’s spaces?”

Other parents who spoke at the meeting were equally passionate, but less polite. I can’t imagine it must be much fun to be an MLK school board member just now. They need to do the right thing and order all the schools to immediately remove biological boys from girls’ locker rooms and bathrooms. What’s so hard about that?
I think what all this pushback — in a CALIFORNIA high school, no less — shows is that the trans tide is turning, as more and more folks lose their fear of being canceled or otherwise socially ostracized for stating plain biological facts.
🔥 Last week, the Times of Israel ran a story headlined, “Iran Begins Crackdown Against Violators of Mandatory Hijab Laws.” The sub-headline explained, “Police say technology will be used to identify women who flout strict Islamic dress code, even in private cars, and warn businesses will be closed if workers remove headscarves.”

Last fall, protests that were totally NOT a CIA-attempted color revolution broke out all over the country by Iranian ladies angry about mandated head masks, and who can blame them? But the color revolution failed because Iran’s government was having none of it, and promptly started shooting protestors and arresting violators.
The Times of Israel drily noted that Iran considered the protests foreign-instigated. It wasn’t the CIA though, definitely not. And the Russians blew up their own Nordstream pipeline, Jeffrey Epstein killed himself using his own bedsheet, US intelligence agencies would never conspire with social media companies to censor us, and carnival ring-toss games are totally 100% fair.
Anyway, while Iran’s government is a dsytopian dictatorship that seems to love micromanaging its citizens’ choices of apparel, and while I do not in any way agree with head scarf mandates or any other kind of mandate, not to mention shooting protestors, there might still be something illustrative in how the Iranians have fended off the deep state psychological warfare by just standing firm, not giving an inch, and not caving from all the bad press and faux corporate-media outrage.
The Iranian response to the hijab wars interested me because I’ve been wondering if the our trans “movement” isn’t actually a psychological operation designed and intended to create social chaos and promote political unrest? It wouldn’t be the first time. And these kinds of psyops only work because they prey on our goodwill and our discomfort about hurting people’s feelings.
I mean, if he really thinks he’s a girl, it must be rude and disrespectful to call him a boy, right?
The last ten years have seen the invention of whole new categories of verbal incivility, labeled with innovative vocabulary like “dead-naming,” “misgendering,” “micro aggressions,” and “silence is violence.” Who comes up with this stuff? These novel ideas don’t seem to spread organically so much as just unexpectedly appear, like a distant relative showing up on the doorstep for another “temporary” visit.
When these new words and concepts do show up, they are always fully formed, undebatable, unquestioned, and surreptitiously installed in the collective corporate media lexicon like an overnight phone update nobody asked for that changes all your apps around.
Speaking of which, what highly-organized, worldwide influence has been simultaneously promoting all this spanking-new phraseology, all around the world? Who has the juice to pull something like that off? Not the “trans community,” surely. Who or what can compel previously-stable corporate media reporters to run schizophrenic stories like this:

People, please. That is a fine Cro-Magnon woman, and don’t misgender him. I mean her.
Anyway, the point is that the shaming technique that stops society from pushing back on these ludicrous tactics only works because we have all been terrified into not calling it out, to be polite. The psy-operators deploy the same “bad person” accusations against us, over and over, rinse and repeat, and fight most fiercely at the questioning stage.
For example, if you question the Proxy War, then of course you are a heartless maniac who doesn’t care about poor, downtrodden Ukrainians, just like that fascist Putin. If you wonder whether that’s really a chick or maybe it’s actually a boy, then you are a shameful, intolerant transphobe, a disrespecter, who enjoys mentally torturing defenseless dysphorics. Or, if you question mask science, you are LITERALLY killing grandma, how dare you.
And so on. They’re using our fear of being called ‘impolite’ against us.
But sooner or later, this kind of psychological warfare eventually runs up against an unyielding social or emotional bulwark. For example, straight guys have stubbornly refused to be shamed into dating lipsticked cross-dressers. Just this week, Kansas — joining several other states — outlawed boys playing on the girls’ soccer team. Angry dads (not just moms, finally) are yelling at school boards. Matt Walsh has trolled the psy-operators by repeatedly asking so-called experts the apparently baffling question, “what is a woman?”
Even lots of light-beer drinkers have put a lid on Bud Light.
My sense is the trans movement’s days are, mercifully, numbered. That particular operation is petering out faster than Ukraine’s artillery supply. But I wonder: what if we had immediately taken a strong position against all this gender-bending, and called it out as the mental illness that it clearly is, instead of allowing those irrational ideas to get traction just because we were afraid of hurting somebody’s feelings?
We need a word for being painfully honest, something like blunt, but more proactive. And that word needs to become a rallying cry against whatever these maniacs come up with next.
I’ll just say it: some people’s feelings NEED to get hurt, for their own good, and for our collective sanity. If weak men produced these hard times, then it might be time for some strong men to start calling a cross-dresser a transvestite.
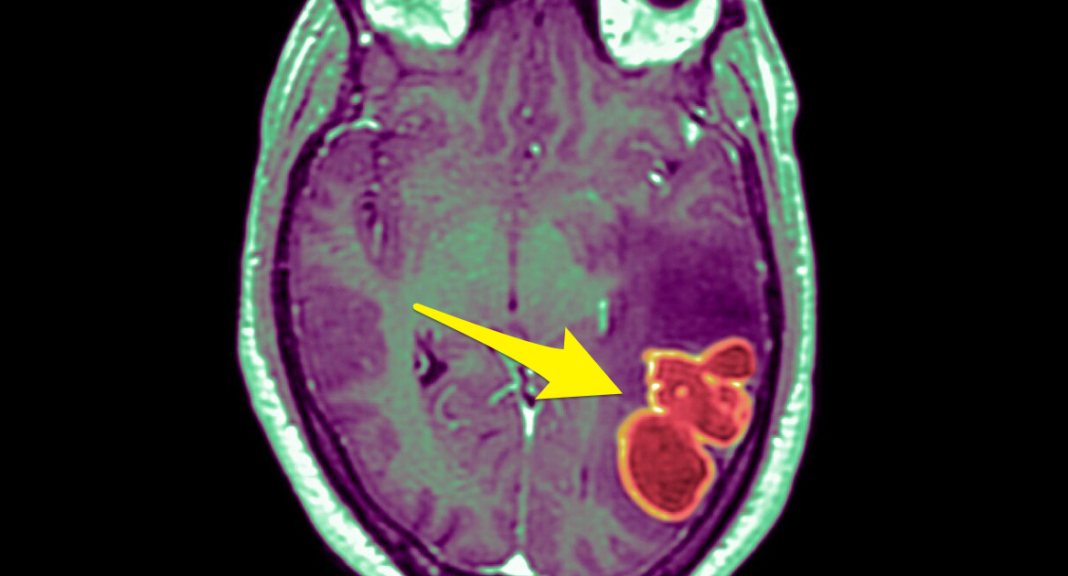
💉 Here we go again! An ABC affiliate in Bakersfield ran a story yesterday headlined, “Mysterious Cluster of Brain Infections Strikes Kids in Nevada.” The sub-headline explained, “In 2022, the number of brain abscesses in kids tripled in Nevada, rising from an average of four to five a year to 18.”

The CDC is investigating another breakout of a previously ultra-rare bug, this time an unusual, fast-onsetting brain abscess. “In my 20 years’ experience, I’ve never seen anything like it,” said pediatric neurosurgeon Dr. Taryn Bragg, an associate professor at the University of Utah who treated the cases.
These kinds of diseases are so rare there is only one pediatric neurosurgeon in all of Nevada. Oddly, the cases started cropping up shortly after the shots were authorized for kids: “After March of 2022, there was just a huge increase” in brain abscesses, Bragg admitted. “I was seeing large numbers of cases and that’s unusual. And the similarities in terms of the presentation of cases was striking.”
Striking and unusual is one way of putting it.
The infected children had a median age of 12, and three quarters were boys. Sounds about right.
It’s not just in Nevada, either. Doctors in other parts of the country confirmed they are also seeing similar spikes in pediatric brain abscesses. “We’re just impressed by the number of these that we’re seeing right now,” said Dr. Sunil Sood, a pediatric infectious disease specialist at Northwell Health in New York.
It is kind of hard to estimate how many cases there are, since brain abscesses are not reportable diseases, meaning doctors don’t have to inform public health departments when they find a case. So there could be lots and lots more.
It’s not a minor inconvenience, either. Brain abscesses are pockets of pus-filled infection occurring after bacteria somehow spread into the brain. They cause seizures, visual disturbances, and changes in vision, speech, coordination or balance. (They might want to check Joe Biden’s brain.) The earliest symptoms are like a cold, with headaches and transient fevers.
Abscesses often need several brain surgeries, and kids can spend weeks or months in inpatient hospital care while recovering.
Some of the kids that Dr. Bragg treated needed multiple brain, head, and neck surgeries to clear their infections. Dr. Sood said one patient in his hospital has been there for two to three months and had five surgeries, although Sood said she was an extreme case.
It almost sounds like something somehow induced a kind of immunosuppression in these kids.
Dr. Jessica Penney, a CDC Epidemic Intelligence Service officer, investigated the Nevada cases. Penney said that, as they tried to figure out what was driving the increase, they considered a “slew of factors” — travel, a history of covid infection, underlying health, and any common activities or exposures — and they just couldn’t find ANY common element linking the cases.
Do you, like me, notice something pretty big missing from that “slew of factors” the CDC looked at? Hint: It starts with a ‘v’.
The doctors are, as usual, baffled. They wonder, how are these new infections related to the pandemic? Maybe it’s immunity debt from keeping the kids on lockdown so long? But that doesn’t quite fit either. They don’t know, and they don’t have any good ideas.
Hopefully, the cases will fall again as shots for kids fall, leaving it yet another mysterious post-jab pediatric infection.
🪳 The American Spectator agrees with me about the ludicrous recent New York Times ‘limited-hangout’ interview with that human centipede Fauci. The Spectator ran a story about the interview last week headlined, “Fauci Retcons the Pandemic in Laughable NYT Interview.” The even more hilarious sub-headline said, “The doctor, once again, proved himself a master of illusion and obfuscation.”

Great headline! I don’t use the word ‘retcon’ nearly enough. It’s a media term, describing cheap narrative gaslighting, like when an established superhero character suddenly gets new powers or a new weakness and the story-writers fix it using a flashback. That’s retconning.
The Spectator’s writer had more patience than me, and one-by-one, he rebutted all Fauci’s ridiculous claims that it was all our own fault and he had nothing whatsoever to do with it, especially the loss of public faith in public health agencies.
Fauci is a big fat gaslighting liar.
Here’s the link if you want the read the deets.
🚀 In Proxy War news, on Thursday Newsmax ran a story headlined, “Ukraine Tried to Kill Putin With Drone Strike.”
According to German newspaper Bild, Ukrainian secret service agents tried to assassinate Russian President Vladimir Putin with a drone carrying explosives last Sunday, but it fell short of its target.
Bild reported a UJ-22 drone, Ukraine’s most advanced medium-range drone, having a range of nearly 500 miles, took off from Ukraine on Sunday carrying about 37 pounds of C-4 explosives. Its target was a newly built industrial park in Rudnevo, southeast of Moscow, that Putin was said to be visiting.
A Ukrainian activist claimed responsibility, saying “Last week, our intelligence officers received information about Putin’s trip to the Rudnevo industrial park. Accordingly, our kamikaze drone took off, which flew through all the air defenses of the Russian Federation and crashed not far from the industrial park.”
Putin, who doesn’t seem like the type of leader who takes this kind of thing lightly, did not comment on the explosive story.
🔥 This week in legislation, a Texas bill requiring schools to have armed employees advanced in the Texas House, and a bill passed the Texas Senate that would ban Chinese citizens from buying farmland.

Also this week, North Dakota enacted a law prohibiting trans children and adults from accessing bathrooms, locker rooms or showers in dormitories of state-run colleges and correctional facilities.
Meanwhile, the Florida legislature passed a bill banning automatic deductions for teachers’ union dues, automatically de-certifying unions that drop below 60% membership, and making the unions disclose to their members exactly how much their managers make.
That last one about disclosing manager salaries should generate some pretty lively conversations, don’t you think?
The bill is now headed to the governor’s desk for signature.
It might seem technical but it’s a pretty significant move. National Review observed, “The first-of-its-kind law could have far-reaching consequences if other states follow suit, as was the case with Florida’s Parental Rights in Education law.”
Florida’s house also passed a substantial anti-illegal-immigration bill, which is now headed to the Senate. According to Florida Politics, the bill would put Florida among states with the strictest state-level rules about illegal immigrants. Among other things, the bill would invalidate driver’s licenses from states allowing illegals to get them, prohibit local governments and Florida non-profits from helping illegals get ID cards, require hospitals and employers to verify immigration status, and most importantly, it would criminalize helping illegal immigrants enter Florida.
There’s really too much going on around the country to report it all. Stand by for lots of good news as these and other great bills get passed in red states all across the nation.
🔥 Florida Politics ran a story yesterday headlined, “Ethics Complaints Against Ron DeSantis Fall Flat.” The gist is that two pending ethics complaints were dismissed this week. One was filed by former democrat agriculture commissioner Nikki Fried, and the other from MAGA, Inc., a PAC affiliated with President Trump. Both complaints alleged ethical violations arising from what they see as DeSantis’ “shadow” presidential campaign.
Helpfully, the Ethics Commission has now found that DeSantis’ campaigning is consistent with ethical requirements, or at least, not inconsistent with them.
🔥 Disastrous Teacher’s Union Leader Randi Weingarten, who absolutely championed school closures for three years, and who is now on a Fauci-like retconning tour claiming — and I am not making this up — that she always advocated for open schools.

Oh, but she knows. She turned the comments off on that Tweet, limited replies to only people she follows, which is what you call an “echo chamber.”

The good news is, even Randi Weingarten is now being forced to gaslight and retcon her stupid school pandemic positions. Anyway, this week in a live CNN interview, a dad gave Randi a piece of his mind, and it’s an absolute pleasure to watch. Enjoy:

🔥 To warm your heart up even more, enjoy this next video clip of youthful 7th-grade hero Dillon Reeves, 13, who leapt into action, grabbing his school bus’s steering wheel, after the driver had a sudden and unexpected “medical complication.” Reeves even directed other kids to call 911 while he was driving in what looks like a very awkward position.
There were 66 kids on the bus:

Somebody should give that kid a medal or something. Here’s a link to an ABC story with lots more detail for you to enjoy.
Have a wonderful weekend! I’ll see you guys back here on Monday to kick off the week the fully-caffeinated C&C way.
Join C&C in moving the needle and changing minds. I could use your help getting the truth out and spreading optimism and hope, if you can: https://www.coffeeandcovid.com/p/-learn-how-to-get-involved-
Twitter: jchilders98.
Truth Social: jchilders98.
MeWe: mewe.com/i/coffee_and_covid.
Telegram: t.me/coffeecovidnews
C&C Swag! www.shopcoffeeandcovid.com
Emailed Daily Newsletter: https://www.coffeeandcovid.com
© 2022, Jeff Childers, all rights reserved
The views expressed in this commentary are those of the author and do not necessarily reflect the official position of Citizens Journal Florida.








